⚠️ Alpha内测版本警告:此为早期内部构建版本,尚不完整且可能存在错误,欢迎大家提Issue反馈问题或建议。
Skip to content

1.4 医学影像中的伪影

"伪影不是敌人,而是医学影像物理过程的诚实反映。理解伪影,就是理解成像的本质。" —— 医学影像诊断的智慧

想象这样一个场景:放射科医生在审阅一份头部CT扫描时,发现患者脑部中线有一条奇怪的暗带。初看之下,这可能是脑出血的征象,需要立即通知临床医生。但经验丰富的医生知道,这很可能是射束硬化伪影——一种由于X射线能谱改变导致的虚假信号,而非真实病变。

这个例子说明了一个重要的事实:伪影识别能力直接影响诊断准确性。据统计,约 5-10% 的医学影像误诊与伪影的错误识别有关。在某些情况下(如主动脉夹层的诊断、肿瘤边界的确定),伪影的误判可能导致严重的临床后果。

本章将系统介绍医学影像中的常见伪影类型、物理成因、特征表现和识别方法,帮助你从根本上理解伪影的本质,而不仅仅是记住它们的外观。


什么是伪影?

伪影(Artifact)是指图像中出现的、不代表真实解剖结构或病理状态的虚假信号或图像失真。伪影可能表现为:

  • 虚假结构:图像中出现实际不存在的结构
  • 结构缺失:真实存在的结构未能显示
  • 位置错误:结构显示在错误的位置
  • 形态失真:结构的形状、大小或信号强度被扭曲

💡 伪影的本质

伪影是成像物理过程的固有特性,而非设备故障。每种成像模态都有其特定的伪影类型,这些伪影反映了该模态的物理原理和技术限制。理解伪影的物理原理,是正确解读医学影像的关键。


CT 伪影

CT 成像基于 X 射线的衰减特性,通过测量不同角度的投影数据重建出断层图像。由于 X 射线的物理特性和重建算法的限制,CT 图像容易出现多种伪影。这些伪影可能严重影响诊断准确性,因此理解其成因和特征至关重要。

运动伪影(Motion Artifact)

成因

患者在扫描过程中的任何运动(呼吸、心跳、肠蠕动、不自主运动)都会导致投影数据的不一致性。当不同角度的投影数据采集时患者位置发生改变,重建算法会产生严重的重建误差。

特征表现

  • 模糊(Blurring):结构边界不清晰,呈现模糊状
  • 重影(Ghosting):运动结构出现多个影像,沿运动方向排列
  • 条纹状伪影(Streaking):沿运动方向的放射状条纹

打个喷嚏不好意思医生,刚刚没忍住打了个喷嚏

减少方法

  • 患者准备:呼吸训练、屏气扫描、必要时使用镇静剂
  • 快速扫描
    • 使用高螺距(pitch > 1.0,通常 1.2-1.5)和多排探测器
    • 缩短扫描时间(现代 CT 可在 5-10 秒内完成胸腹部扫描)
    • 使用高速旋转(0.3-0.4 秒/圈)
  • 心电门控:心脏 CT 中同步心电信号,在舒张期采集数据
  • 呼吸门控:腹部 CT 中同步呼吸信号
  • 后处理:运动校正算法、4D CT 重建

⚠️ 临床注意

运动伪影常见于腹部扫描(呼吸运动)和心脏扫描(心跳)。在评估小病灶时,需要区分真实病变和运动伪影。多层面观察和对比增强前后扫描有助于鉴别。低螺距扫描(pitch < 1.0)虽然扫描时间长,但可以获得更多的投影数据,有助于减少运动伪影。


金属伪影(Metal Artifact)

成因

金属植入物(如骨科内固定、牙科填充物、心脏起搏器)具有极高的 X 射线衰减系数。这导致三种主要效应:

  1. 光子饥饿(Photon Starvation):金属完全吸收 X 射线,探测器接收不到信号
  2. 射束硬化(Beam Hardening):低能光子被优先吸收,导致多色 X 射线束的能谱改变
  3. 散射(Scattering):金属表面产生大量散射射线

特征表现

  • 暗条纹(Dark Streaks):从金属物体向外辐射的暗线
  • 亮条纹(Bright Streaks):过度校正导致的高密度条纹
  • 阴影区域(Shadowing):金属周围的低密度区域,严重影响周围组织显示

左右髋关节假体左右髋关节假体会导致伪影降低骨盆图像质量

植入牙植入牙科填充物会导致伪影降低牙齿图像质量

减少方法

  • 扫描参数优化
    • 提高管电压(120-140 kVp)以增加穿透力
    • 增加管电流(mA)以改善信噪比
    • 使用薄层扫描(≤ 1 mm)
  • 金属伪影减除算法(MAR)
    • 迭代重建算法(ASIR、ADMIRE等)
    • 投影数据插值
    • 双能 CT 技术
  • 扫描体位调整:尽量使金属物体垂直于扫描平面

💡 技术进展

现代 CT 扫描仪配备的 MAR 算法可以显著减少金属伪影,但无法完全消除。在评估金属植入物周围组织时,应结合多个层面、不同窗宽窗位和对比增强扫描进行综合判断。


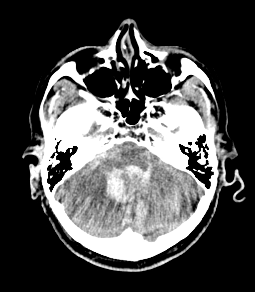
射束硬化伪影(Beam Hardening Artifact)

成因

X 射线束是多色的(包含不同能量的光子)。当 X 射线穿过物体时,低能光子被优先吸收,导致射线束的平均能量增加("硬化")。由于 CT 重建算法假设 X 射线是单色的,这种能谱变化会导致重建误差。

特征表现

杯状伪影(Cupping Artifact)

  • 均匀物体的中心区域 CT 值偏低
  • 边缘区域 CT 值偏高
  • 常见于头颅扫描(颅骨导致)

暗带伪影(Dark Band Artifact)

  • 两个高密度物体之间出现暗带
  • 常见于肩部扫描(两侧肱骨之间)

致密颅底导致的射束硬化伪影致密颅底导致的射束硬化伪影

杯状伪影及水平方向HU值变化杯状伪影及水平方向HU值变化

减少方法

  • 硬件校正:内置射束硬化校正算法、弓形滤过器(Bow-tie Filter)
  • 扫描技术:双能 CT、迭代重建算法
  • 后处理:基于模型的校正算法

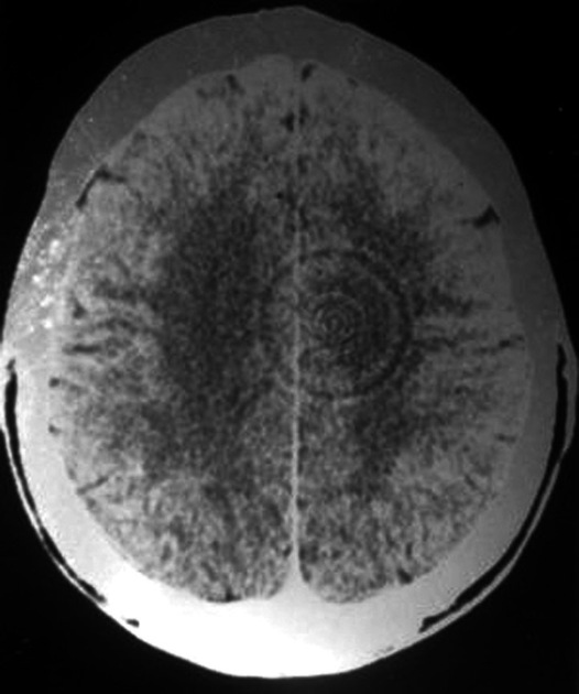
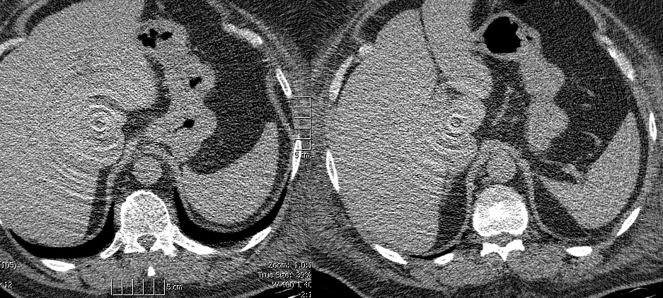
环形伪影(Ring Artifact)

成因

环形伪影是由探测器单元的校准误差或故障引起的。在旋转扫描过程中,单个探测器单元的响应异常会在重建图像中形成以扫描中心为圆心的环形伪影。

特征表现

  • 同心圆环:以图像中心为圆心的圆环或弧形
  • 固定位置:在连续层面上位置固定
  • 密度异常:环内或环外密度异常

脑部扫描的环形伪影脑部扫描的环形伪影

腹部环形伪影腹部环形伪影

减少方法

  • 探测器校准:定期进行探测器校准
  • 硬件维护:更换故障探测器单元
  • 后处理算法:环形伪影去除算法

⚠️ 质量控制

环形伪影通常提示设备需要维护。如果在临床扫描中频繁出现环形伪影,应及时联系设备工程师进行校准或维修。


部分容积效应(Partial Volume Effect)

成因

当 CT 扫描层厚内包含多种不同密度的组织时,该层的 CT 值是这些组织的加权平均值。这导致边界模糊和密度失真。

特征表现

  • 边界模糊:小结构或薄层结构边界不清
  • 密度失真:CT 值不能准确反映组织真实密度
  • 假阴性:小病灶可能被平均掉而不显示

减少方法

  • 薄层扫描:使用更薄的层厚(如 0.625 mm)
  • 重叠重建:使用重叠重建间隔(如 50% 重叠)
  • 多平面重建(MPR):从不同方向观察

💡 临床应用

部分容积效应在小结构评估中最为明显。对于肺结节、肾脏小囊肿等小病灶的诊断,应使用薄层扫描并进行多平面重建,以避免因部分容积效应导致的漏诊。


截断伪影(Truncation Artifact)

成因

当扫描视野(FOV)小于被扫描物体时,物体边缘的投影数据被截断,导致重建图像中出现条纹状伪影。

特征表现

  • 边缘条纹:图像边缘出现放射状条纹
  • 密度失真:边缘区域 CT 值不准确

减少方法

  • 增大 FOV:确保 FOV 完全包含被扫描物体
  • 患者定位:将感兴趣区域置于扫描中心

MRI 伪影

MRI 成像基于氢原子核在磁场中的共振特性,其伪影类型与 CT 完全不同,主要与磁场不均匀性、射频脉冲和梯度场有关。MRI 伪影的特点是与序列参数密切相关,通过调整扫描参数往往能有效减少伪影。

化学位移伪影(Chemical Shift Artifact)

成因

脂肪和水中的氢质子由于化学环境不同,共振频率存在约 3.5 ppm 的差异。在 1.5T 磁场中,这个差异约为 220 Hz;在 3T 磁场中约为 440 Hz。在频率编码方向上,这种频率差异被误解释为空间位置差异。

特征表现

  • 黑白边界:脂肪-水界面出现一侧黑线、另一侧白线
  • 方向性:仅在频率编码方向出现,相位编码方向无此伪影
  • 场强依赖:高场强(3T)比低场强(1.5T)更明显

常见部位

  • 眼球-眶内脂肪界面
  • 肾脏-周围脂肪界面
  • 椎体-椎间盘界面

减少方法

  • 脂肪抑制技术
    • STIR(短 TI 反演恢复):对所有脂肪有效
    • 脂肪饱和(Fat Sat):选择性抑制脂肪
    • SPAIR(谱空间饱和反演恢复):改进的脂肪抑制
  • 增加接收带宽
    • 提高频率分辨率,减少化学位移像素数
    • 带宽从 32 kHz 增加到 62.5 kHz 或更高
    • 化学位移像素数 = 化学位移频率 / 接收带宽
  • 交换编码方向:将脂肪-水界面置于相位编码方向(化学位移伪影仅在频率编码方向出现)
  • 使用 Dixon 序列:同时采集脂肪和水信号,进行分离

技术参数建议

  • 1.5T 磁场:化学位移约 220 Hz,建议带宽 > 32 kHz
  • 3T 磁场:化学位移约 440 Hz,建议带宽 > 62.5 kHz
  • 高场强(7T):化学位移约 1000 Hz,需要更高的带宽

💡 诊断价值

化学位移伪影虽然是伪影,但在某些情况下具有诊断价值。例如,在肾脏脂肪沉积的诊断中,化学位移成像可以用于定量评估脂肪含量。Dixon 序列可以生成脂肪和水的分离图像,用于脂肪定量分析。


磁敏感伪影(Susceptibility Artifact)

成因

不同组织的磁化率(Magnetic Susceptibility)存在差异。在组织界面(特别是空气-组织、金属-组织界面),磁场会发生局部畸变,导致:

  1. 局部磁场不均匀:T2* 弛豫加速
  2. 信号快速衰减:导致信号缺失
  3. 几何畸变:空间编码错误

特征表现

  • 信号缺失:金属植入物周围的黑色区域
  • 结构变形:周围组织的几何畸变
  • 序列依赖:GRE 序列中明显,SE 序列中较轻

减少方法

  • 序列选择
    • 使用自旋回波序列(SE)而非梯度回波序列(GRE)
    • SE 序列对磁敏感伪影的抵抗力强 10-100 倍
    • 对于金属植入物周围,优先选择 SE 序列
  • 参数调整
    • 缩短回波时间(TE):减少 T2* 衰减时间
    • 增加接收带宽:提高频率分辨率,减少几何畸变
    • 使用厚层扫描:减少部分容积效应
    • 增加梯度强度:改善空间编码
  • 特殊技术
    • WARP(Slice Encoding for Metal Artifact Correction):投影重建方法
    • SEMAC(Slice Encoding for Metal Artifact Correction):多层编码
    • MAVRIC(Multi-Acquisition Variability Image Combination):多频率采集
    • MARS(Metal Artifact Reduction Sequence):改进的序列设计

技术参数建议

  • 金属植入物周围:TE < 30 ms,带宽 > 100 kHz
  • 脑部成像:使用 SE 序列,避免 GRE 序列
  • 脊柱成像:使用 SEMAC 或 MAVRIC 技术

💡 临床应用

磁敏感伪影在某些情况下具有诊断价值。在 SWI(磁敏感加权成像)序列中,可以利用磁敏感伪影的特性来检测微出血、静脉血管和铁沉积,这对脑卒中、帕金森病等疾病的诊断具有重要意义。现代 MRI 系统通常配备多种金属伪影减除技术,可根据植入物类型选择合适的方法。


运动伪影(Motion Artifact)

成因

MRI 扫描时间较长(通常数分钟),患者的任何运动都会导致 k 空间数据的不一致性。常见的运动包括:

  • 呼吸运动:腹部和胸部扫描最常见
  • 心跳:心脏和大血管扫描
  • 血流和脑脊液搏动:脑脊液流动导致的信号变化
  • 肠蠕动:腹部扫描
  • 体位改变:患者不自主的位置改变

特征表现

  • 重影(Ghosting):沿相位编码方向出现运动结构的重复影像
  • 边界模糊:结构边界不清晰
  • 信号丢失:运动区域的信号减弱

减少方法

  • 患者准备
    • 呼吸训练:教导患者规律呼吸
    • 屏气扫描:在呼气末屏气(通常 15-20 秒)
    • 固定装置:使用腹部压迫带、头部固定器
    • 必要时使用镇静剂:对于无法配合的患者
  • 扫描技术
    • 呼吸门控:同步呼吸信号,延长扫描时间但减少伪影
    • 心电门控:同步心电信号,用于心脏和大血管成像
    • 饱和带:在运动区域(如腹部)放置饱和带抑制信号
    • 快速序列:EPI(回波平面成像)、HASTE(快速自旋回波)等
    • 自由呼吸技术:允许患者自由呼吸,通过算法补偿运动
  • 编码方向优化
    • 将相位编码方向设置为垂直于运动方向
    • 运动伪影沿相位编码方向出现,因此改变编码方向可改变伪影位置
  • 序列参数调整
    • 缩短 TR/TE:减少扫描时间
    • 增加带宽:改善运动鲁棒性
    • 使用平行成像:加速扫描,减少运动伪影

技术参数建议

  • 腹部成像:使用屏气扫描或呼吸门控,扫描时间 < 20 秒
  • 心脏成像:使用心电门控,在舒张期采集
  • 脑部成像:使用快速序列,TR < 2000 ms

⚠️ 临床注意

运动伪影是 MRI 中最常见的伪影之一。在腹部和心脏成像中,应优先考虑使用呼吸门控或快速序列来减少运动伪影。对于儿童患者,可能需要使用镇静剂以获得诊断质量的图像。


混叠伪影(Aliasing Artifact / Wraparound)

成因

当扫描视野(FOV)小于被扫描物体时,FOV 外的组织信号会被"折叠"到图像的对侧。这是由于相位编码的周期性特性导致的。

特征表现

  • 结构重叠:FOV 外的结构出现在图像对侧
  • 与真实结构重叠:导致诊断困难
  • 仅在相位编码方向出现:频率编码方向无此伪影

减少方法

  • 增大 FOV:确保 FOV 完全包含被扫描物体
  • 过采样:在相位编码方向进行过采样(无折叠成像)
  • 饱和带:在 FOV 外放置饱和带抑制信号

截断伪影(Truncation Artifact / Gibbs Ringing)

成因

MRI 图像是通过傅里叶变换从 k 空间数据重建的。当 k 空间采样不足时(特别是在高对比度边界处),傅里叶变换会产生振荡。

特征表现

  • 平行条纹:平行于高对比度边界的明暗交替条纹
  • 位置固定:在多个层面上位置一致
  • 常见部位:脊髓-脑脊液界面、膀胱壁、眼球

鉴别诊断

特征截断伪影脊髓空洞症
形态平行条纹圆形或椭圆形
位置固定可变
多层面一致可能不一致
临床症状有相应症状

减少方法

  • 增加矩阵大小:提高空间分辨率
  • 增加 k 空间采样:完整采样 k 空间
  • 低通滤波:后处理滤波

⚠️ 诊断陷阱

截断伪影常见于脊髓-脑脊液界面,容易被误认为脊髓空洞症。应通过观察伪影的特征(平行条纹、位置固定)和临床症状来鉴别。


射频穿透伪影(RF Penetration Artifact)

成因

在高场强 MRI(3T 及以上)中,射频波长变短,在大体积组织中会发生干涉,导致信号强度不均匀。

特征表现

  • 中心增强:图像中心区域信号增强
  • 边缘减弱:图像边缘信号减弱
  • 不均匀性:整体信号强度分布不均

减少方法

  • 并行发射技术:多通道射频发射
  • B1 场均匀化技术:改善射频场均匀性
  • 高场强 MRI 的标准配置:现代 3T 及以上 MRI 通常配备这些技术

X-ray 伪影

X 射线成像是最基本的医学影像技术,其伪影主要与 X 射线的物理特性和探测器特性有关。X-ray 伪影通常可以通过调整扫描参数和技术来有效减少。

散射伪影(Scatter Artifact)

成因

X 射线穿过人体时,部分光子会发生康普顿散射,改变方向后到达探测器。这些散射射线携带错误的位置信息。

特征表现

  • 灰雾增加:图像整体灰度升高
  • 对比度下降:组织间对比度减弱
  • 细节模糊:图像清晰度降低

减少方法

  • 滤线栅(Anti-Scatter Grid):吸收散射射线,是最有效的方法
  • 缩小照射野:减少散射源
  • 增加空气间隙:利用几何原理减少散射

⚠️ 技术注意

滤线栅放置不当可能产生栅格伪影(Grid Cutoff Artifact),表现为图像中出现平行的暗线。应确保滤线栅与 X 射线束中心对齐。


运动模糊(Motion Blur)

成因

患者在曝光期间的运动导致图像模糊。虽然 X 射线成像的曝光时间很短(通常 < 100 ms),但对于某些快速运动仍可能产生明显伪影。

特征表现

  • 边界模糊:结构边界不清晰
  • 双影:快速运动导致的重影
  • 细节丢失:小结构显示不清

减少方法

  • 扫描参数优化
    • 使用高 mA(管电流):增加 X 射线强度,允许缩短曝光时间
    • 缩短曝光时间:通常 < 50 ms,某些高速系统可达 10-20 ms
    • 使用高速胶片或探测器:提高时间分辨率
    • 增加 kVp:改善穿透力,允许使用更短的曝光时间
  • 患者配合
    • 屏气:在呼气末屏气,减少呼吸运动
    • 固定装置:使用约束带、头部固定器
    • 必要时使用镇静剂:对于无法配合的患者
  • 心脏成像
    • 选择舒张期采集:心脏运动最小
    • 使用心电门控:同步心电信号
    • 使用高速旋转:现代 C 臂可达 0.3-0.5 秒/圈

技术参数建议

  • 标准 X 射线:曝光时间 50-100 ms,mA 200-400
  • 高速成像:曝光时间 10-20 ms,mA 600-1000
  • 心脏成像:曝光时间 < 30 ms,使用心电门控

欠曝光和过曝光

成因

欠曝光:X 射线剂量不足,探测器接收信号弱 过曝光:X 射线剂量过大,探测器饱和

特征表现

欠曝光

  • 图像噪声大
  • 细节丢失
  • 对比度低

过曝光

  • 图像过亮
  • 对比度差
  • 细节模糊

减少方法

  • 自动曝光控制(AEC):根据患者体型自动调整参数
  • 参数选择:根据检查部位选择合适的 kVp 和 mAs
  • 质量控制:定期检查设备的曝光准确性

💡 剂量优化

在保证诊断质量的前提下,应尽量降低 X 射线剂量。这是 ALARA 原则(As Low As Reasonably Achievable)的核心要求。


超声伪影

超声成像基于声波的反射和散射,其伪影类型独特,与声波的物理特性密切相关。超声伪影往往具有诊断价值,许多伪影本身就是重要的诊断征象。

混响伪影(Reverberation Artifact)

成因

当声波在两个强反射界面之间多次反射时,超声系统会将这些延迟返回的回波误认为来自更深的位置,产生等间距的多个回波。

特征表现

  • 等间距回波:沿声束方向的多个平行回波
  • 强度递减:深部回波强度逐渐减弱
  • 特殊形式
    • 彗尾伪影(Comet Tail):密集混响形成的尾状伪影
    • 环降伪影(Ring-Down):金属物体产生的连续高回声带

减少方法

  • 调整探头角度:改变声束入射角度
  • 使用谐波成像:减少混响信号
  • 降低增益:减少弱回波的显示

💡 诊断价值

彗尾伪影是肺部超声的重要诊断征象。在新冠肺炎、肺炎等肺部疾病的诊断中,彗尾伪影的出现具有重要的临床意义。


声影(Acoustic Shadowing)

成因

当声波遇到强吸收或强反射的物体(如骨骼、结石、钙化)时,物体后方的组织接收不到足够的声波能量,形成声影。

特征表现

  • 暗区:强反射体后方的低回声或无回声暗区
  • 侧方阴影:由于声束边缘折射产生的侧方阴影
  • 清晰边界:声影边界通常清晰

常见部位

  • 胆囊结石后方
  • 肾结石后方
  • 骨骼后方

减少方法

  • 改变探头位置:从不同角度扫描
  • 使用复合成像:多角度声束合成
  • 调整增益:优化图像对比度

⚠️ 诊断价值

声影是结石、钙化的重要诊断征象。在胆囊结石、肾结石的诊断中,声影的出现具有高度特异性。但需要注意,声影后方的组织无法显示,可能导致病变漏诊。


后方回声增强(Posterior Acoustic Enhancement)

成因

当声波穿过低衰减的液体(如囊肿、膀胱)时,液体后方的组织接收到更多的声波能量,回声增强。

特征表现

  • 亮区:液性结构后方的高回声亮区
  • 增强程度:与液体厚度相关

常见部位

  • 肝囊肿后方
  • 肾囊肿后方
  • 膀胱后方
  • 胆囊后方

诊断意义

后方回声增强是囊性病变的特征性表现,有助于区分囊性病变和实性病变。


镜像伪影(Mirror Image Artifact)

成因

当声波遇到强反射界面(如膈肌)时,部分声波被反射回探头,然后再次被发射到组织中。这些二次反射的回波被系统误认为来自更深的位置。

特征表现

  • 镜像结构:强反射界面对侧出现真实结构的镜像
  • 对称性:镜像结构与真实结构对称
  • 运动同步:镜像结构与真实结构运动同步

常见部位

  • 膈肌上方出现肝脏镜像
  • 骨骼周围

识别方法

  • 多角度扫描:镜像伪影通常不能在多个角度重复出现
  • 观察对称性:真实结构和镜像结构完全对称
  • 改变探头位置:改变角度后镜像消失

侧瓣伪影(Side Lobe Artifact)

成因

超声探头发射的声束除了主瓣外,还有侧瓣。侧瓣遇到强反射体时,回波被误认为来自主瓣方向。

特征表现

  • 虚假回声:在无回声区(如膀胱、囊肿)内出现点状或线状虚假回声
  • 位置异常:虚假回声位置不符合解剖

减少方法

  • 降低增益:减少侧瓣信号
  • 使用谐波成像:侧瓣在谐波成像中较弱
  • 改变探头位置:从不同角度扫描

⚠️ 诊断陷阱

侧瓣伪影容易被误认为囊肿内的分隔或内部回声,导致误诊。应通过改变增益、改变探头位置等方法来鉴别。


伪影识别与处理的实用建议

识别伪影的一般原则

  1. 了解成像原理:理解不同成像模态的物理基础
  2. 熟悉特征表现:掌握常见伪影的典型特征
  3. 多方位观察:从不同角度、不同序列观察
  4. 结合临床信息:考虑患者病史、植入物等因素
  5. 对比分析:与正常解剖结构对比

伪影与真实病变的鉴别

特征真实病变伪影
边界清晰或模糊但符合解剖可能穿过解剖边界
位置符合解剖位置可能位置异常
多序列表现多序列一致不同序列表现不同
多方位表现多方位一致可能仅在特定方位出现
运动特征符合生理运动可能与周围结构运动不一致
临床相关性与症状相关通常无临床症状

💡 实用建议

在诊断困难的情况下,应:

  1. 使用多个成像序列或模态进行对比
  2. 咨询更有经验的医生
  3. 必要时进行随访扫描
  4. 结合临床症状和其他检查结果进行综合判断

🤖 AI视角

伪影对深度学习模型的影响

  • 训练数据:包含伪影的样本会影响模型泛化能力
  • 应对策略
    1. 数据清洗:剔除严重伪影的样本
    2. 伪影增强:训练时模拟伪影,提高鲁棒性
    3. 预处理:使用第2章的校正方法减少伪影
  • 评估注意:测试集中的伪影可能导致性能下降,需单独评估

Released under the MIT License.