1.1.2 MRI(磁共振成像)
"如果说CT让我们看到了人体的解剖结构,那么MRI则让我们看到了组织的内在特性。"
🎯 从物理实验室到临床诊断的奇妙旅程
核磁共振现象的发现
1946年,两位物理学家几乎同时独立发现了一个奇妙的现象:核磁共振(Nuclear Magnetic Resonance, NMR)。
- Felix Bloch(斯坦福大学):在固体中观察到核磁共振现象
- Edward Purcell(哈佛大学):在液体中观察到核磁共振现象
这两位科学家因此共同获得了1952年诺贝尔物理学奖。但在当时,这只是一个纯粹的物理学发现,主要用于研究物质的分子结构,没有人想到它会彻底改变医学诊断。
💡 为什么叫"核"磁共振?
"核"指的是原子核(主要是氢原子核,即质子)。但由于"核"这个字容易让人联想到核辐射,在医学应用中通常简称为"磁共振成像"(MRI),避免引起患者的恐慌。实际上,MRI完全不涉及电离辐射,是一种非常安全的成像技术。
从化学分析到医学成像的飞跃
在接下来的20多年里,NMR主要被化学家用来分析分子结构。直到1970年代,几位科学家才意识到:如果能够对NMR信号进行空间定位,就可以用它来成像!
关键人物:
Raymond Damadian(1971年)
- 发现不同组织(正常组织vs肿瘤)的NMR信号有显著差异
- 1977年制造了第一台全身MRI扫描仪,命名为"Indomitable"(不屈不挠)
- 第一次扫描耗时近5小时!
Paul Lauterbur(1973年)
- 提出了利用梯度磁场进行空间编码的革命性想法
- 发表了第一张MRI图像(两个装水的试管)
- 被认为是MRI成像的真正奠基人
Peter Mansfield(1970s-1980s)
- 发展了快速成像技术(回波平面成像,EPI)
- 使MRI扫描时间从小时级缩短到秒级
- 使MRI真正具备了临床实用价值
2003年诺贝尔生理学或医学奖授予了Paul Lauterbur和Peter Mansfield,以表彰他们在MRI领域的开创性贡献。
现代3T(3特斯拉)MRI扫描仪,磁场强度是地球磁场的6万倍
⚠️ 一个有趣的争议
Raymond Damadian认为自己应该分享2003年的诺贝尔奖,因为他首先证明了MRI的医学价值。他甚至在《纽约时报》等媒体上刊登整版广告表达抗议。但诺贝尔委员会认为,Lauterbur和Mansfield的贡献更具有根本性——没有他们的空间编码技术,MRI成像根本无法实现。这个争议至今仍是科学史上的一个话题。
🔬 MRI是如何"看到"人体的?
氢原子核:人体内的"小磁铁"
MRI的成像原理与CT完全不同,它不依赖X射线,而是利用人体内最丰富的元素——氢。
为什么选择氢?
- 人体约60%是水(H₂O),脂肪也含有大量氢原子
- 氢原子核(质子)具有磁性,就像一个个微小的磁铁
- 氢原子核的磁共振信号最强,最容易被探测
💡 一个形象的比喻
想象人体内有数以亿计的小陀螺(氢原子核),它们平时朝各个方向旋转。当你把人体放入强大的磁场中,这些小陀螺就会像士兵听到口令一样,整齐地朝同一个方向排列。然后,用射频脉冲(就像一个"推力")把它们推倒,它们在恢复原状的过程中会发出信号——这就是MRI探测的信号。
MRI成像的四个关键步骤
MRI头部矢状面图像,展示了MRI优秀的软组织对比度
1. 施加强磁场(B₀)
- 将患者放入强大的磁场中(通常是1.5T或3T)
- 氢原子核像指南针一样,沿着磁场方向排列
- 形成一个微小的净磁化矢量
2. 射频脉冲激发
- 发射特定频率的射频脉冲(通常在几十MHz)
- 氢原子核吸收能量,被"推倒"(偏离平衡位置)
- 这个频率被称为"拉莫尔频率"(Larmor frequency)
3. 弛豫过程
- 关闭射频脉冲后,氢原子核逐渐恢复到平衡状态
- 在恢复过程中释放能量,产生MRI信号
- 不同组织的恢复速度不同,这就是MRI对比度的来源
4. 空间定位
- 利用梯度磁场对信号进行空间编码
- 通过复杂的数学变换(傅里叶变换)重建图像
- 最终得到人体的横断面、冠状面或矢状面图像
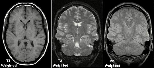
T1和T2弛豫:MRI的"语言"
MRI最神奇的地方在于,它可以通过调整扫描参数,获得不同"对比度"的图像。这主要依赖于两种弛豫过程:
T1弛豫(纵向弛豫)
- 氢原子核恢复到平衡状态的速度
- T1加权图像:脂肪呈高信号(亮),水呈低信号(暗)
- 适合观察解剖结构
T2弛豫(横向弛豫)
- 氢原子核之间相位一致性丧失的速度
- T2加权图像:水呈高信号(亮),脂肪呈中等信号
- 适合观察病变(如水肿、肿瘤)
同一层面的T1加权、T2加权和质子密度(PD)加权MRI图像对比,不同加权方式下组织信号强度差异明显
📊 T1和T2的临床意义
| 组织类型 | T1加权 | T2加权 | 临床应用 |
|---|---|---|---|
| 脂肪 | 高信号(亮) | 中等信号 | 解剖结构 |
| 水/脑脊液 | 低信号(暗) | 高信号(亮) | 水肿、积液 |
| 灰质 | 中等信号 | 中等信号 | 脑组织对比 |
| 白质 | 高信号 | 低信号 | 脱髓鞘病变 |
| 肿瘤 | 低-中等信号 | 高信号 | 肿瘤检测 |
MRI与CT的本质区别
| 特性 | CT | MRI |
|---|---|---|
| 成像原理 | X射线衰减 | 氢原子核磁共振 |
| 辐射 | 有电离辐射 | 无辐射 |
| 软组织对比 | 较差 | 极佳 |
| 骨骼成像 | 极佳 | 较差 |
| 扫描速度 | 快(秒级) | 慢(分钟级) |
| 禁忌症 | 孕妇需谨慎 | 体内金属植入物 |
| 成本 | 较低 | 较高 |
⚠️ MRI的禁忌症
由于MRI使用强磁场,以下情况不能进行MRI检查:
- 心脏起搏器
- 人工耳蜗
- 某些金属植入物(如动脉瘤夹)
- 眼内金属异物
- 早期妊娠(前3个月需谨慎)
但现代很多植入物已经是"MRI兼容"的,具体需咨询医生。
📈 MRI技术的发展历程
技术演进时间线
| 年代 | 里程碑事件 | 磁场强度 | 扫描时间 | 主要应用 |
|---|---|---|---|---|
| 1970s | 概念验证阶段 | - | 数小时 | 实验室研究 |
| 1971:Damadian发现肿瘤NMR信号差异 | ||||
| 1973:Lauterbur发表第一张MRI图像 | ||||
| 1977:第一台全身MRI扫描仪"Indomitable" | ||||
| 1980s | 临床应用起步 | 0.15T - 0.5T | 30-60分钟 | 脑部、脊柱 |
| 1980:第一台商用MRI扫描仪问世 | ||||
| 1990s | 高场强普及 | 1.5T | 15-30分钟 | 全身各器官 |
| 1990:小川诚二发现BOLD效应(fMRI诞生) | ||||
| 1.5T成为临床"金标准" | ||||
| 2000s | 更高场强与快速成像 | 3T | 10-20分钟 | 功能成像、波谱 |
| 1999:SENSE并行成像技术 | ||||
| 2002:GRAPPA并行成像技术 | ||||
| 2010s | 超高场与AI | 7T+ | 5-15分钟 | 科研、超早期诊断 |
| 压缩感知技术引入MRI | ||||
| 7T MRI进入临床研究 |
🎯 早期MRI的趣事
早期的MRI扫描非常耗时,患者需要在狭窄的扫描仪内保持静止长达1小时。很多患者因为幽闭恐惧症而无法完成检查。有些医院甚至需要给患者使用镇静剂。这也推动了"开放式MRI"和快速成像技术的发展。
关键技术突破对比
| 技术类别 | 技术名称 | 提出时间 | 核心贡献 | 性能提升 |
|---|---|---|---|---|
| 快速成像 | 回波平面成像(EPI) | 1970s | 单次激发获得完整图像 | 扫描时间<100毫秒 |
| 并行成像 | SENSE | 1999 | 利用多通道线圈空间信息 | 扫描时间缩短2-4倍 |
| 并行成像 | GRAPPA | 2002 | k空间自校准并行采集 | 扫描时间缩短2-4倍 |
| 稀疏采样 | 压缩感知(CS) | 2010s | 利用图像稀疏性减少采样 | 进一步缩短扫描时间 |
| 硬件改进 | 多通道线圈 | 2000s | 8通道→32通道→64通道 | 信噪比大幅提升 |
| 硬件改进 | 梯度系统增强 | 1990s-2000s | 更快的切换速度 | 空间分辨率提升 |
功能MRI(fMRI):看到大脑的"思考"
革命性突破(1990年):
- 发现者:小川诚二(Seiji Ogawa)
- 原理:血氧水平依赖(BOLD)效应 - 大脑活动区域血流增加,氧合血红蛋白比例改变
- 意义:无创观察大脑功能活动
功能MRI(fMRI)脑激活图:彩色区域表示执行特定任务时大脑活跃的区域
主要应用领域:
| 应用领域 | 具体应用 | 临床/科研价值 |
|---|---|---|
| 临床医学 | 术前脑功能定位(语言区、运动区) | 降低手术风险,保护重要功能区 |
| 认知神经科学 | 记忆、注意力、情绪等认知过程研究 | 理解大脑工作机制 |
| 精神疾病 | 抑郁症、精神分裂症、自闭症研究 | 寻找生物标志物,指导治疗 |
| 脑机接口 | 解码大脑活动信号 | 辅助瘫痪患者交流 |
fMRI脑功能图谱:通过统计分析多次任务激活数据,可以绘制出大脑不同功能区域的精细分布图
🧠 fMRI的局限性
虽然fMRI非常强大,但它测量的是血流变化,而不是神经元活动本身。时间分辨率较低(秒级),空间分辨率也有限(毫米级)。因此,它更适合研究"哪里"在活动,而不是"如何"活动。
磁场强度演进与应用
| 磁场强度 | 时代 | 主要特点 | 典型应用 | 使用场景 |
|---|---|---|---|---|
| 0.15T - 0.5T | 1980s | 低场强,扫描慢 | 脑部、脊柱基础成像 | 早期临床探索 |
| 1.5T | 1990s至今 | 临床"金标准" | 全身各器官常规成像 | 最广泛的临床应用 |
| 3T | 2000s至今 | 信噪比提升2倍 | 功能成像、波谱、血管成像 | 高端临床与科研 |
| 7T | 2010s至今 | 超高分辨率(亚毫米级) | 脑科学研究、超早期病变 | 主要用于科研 |
| 9.4T - 11.7T | 研发中 | 极限探索 | 动物实验、基础研究 | 纯科研用途 |
⚠️ 超高场MRI的挑战
7T及以上的超高场MRI虽然分辨率极高,但面临诸多挑战:
- 成本极高:设备和维护费用是3T的数倍
- 技术复杂:射频场不均匀性、特定吸收率(SAR)增加
- 安全考虑:更强的磁场对植入物和生理效应的影响需要更严格评估
- 临床应用有限:目前主要用于科研,临床常规应用仍在探索中
🎯 MRI技术演进的临床意义
MRI技术的每一次进步,都极大地扩展了临床诊断和科研的能力:
| 演进维度 | 早期MRI | 现代MRI | 临床意义 |
|---|---|---|---|
| 软组织对比 | 优于CT | 极致对比 | 从"看得见"到"看得清" |
| 扫描对象 | 脑部、脊柱 | 全身各器官 | 从"局部成像"到"全身成像" |
| 成像能力 | 形态成像 | 形态+功能+代谢 | 从"解剖诊断"到"功能诊断" |
| 扫描时间 | 30-60分钟 | 5-15分钟 | 从"难以忍受"到"常规检查" |
💡 关键要点总结
历史意义:MRI的发展经历了从物理发现(1946年NMR)到医学应用(1970s-1980s)的漫长过程,是多学科交叉的典范。
成像原理:MRI利用氢原子核的磁共振现象,通过T1和T2弛豫时间的差异产生组织对比,完全不涉及电离辐射。
技术演进:从早期的低场强、长时间扫描,到现代的高场强(1.5T/3T)、快速成像,MRI的临床实用性不断提升。
独特优势:MRI在软组织对比、多参数成像、功能成像方面具有无可比拟的优势,是神经、肌肉骨骼、心血管等领域的首选成像方式。
未来方向:超高场MRI(7T+)、人工智能辅助成像、实时MRI等技术将进一步拓展MRI的应用边界。
💡 下一步学习
现在你已经了解了MRI的基本原理和技术演进。在第3章中,我们将深入探讨MRI图像重建的数学原理,包括k空间、傅里叶变换等核心概念。在第2章中,我们将学习MRI原始数据的预处理方法,包括运动校正、偏置场校正等实用技术。
📎 图片引用来源
- MRI头部矢状面图像:Wikimedia Commons - MRI head side,Public Domain
- T1/T2/PD加权MRI对比:Wikimedia Commons - T1t2PD,Public Domain
- fMRI脑功能激活图:Wikimedia Commons - FMRI,CC BY-SA 3.0
- fMRI脑功能图谱:Wikimedia Commons,CC BY-SA